A Royal Philips (NYSE: PHG, AEX: PHIA), líder global em tecnologia de saúde, anunciou hoje o lançamento do Transcend Plus, a próxima geração de seus sistemas de ultrassom cardiovascular EPIQ CVx e Affiniti CVx. O Transcend Plus oferece grandes avanços em qualidade de imagem e inteligência artificial (IA), incluindo aprimoramentos de qualidade de imagem 2D e 3D recém-aprovados pela FDA e um conjunto crescente de aplicativos clínicos habilitados para IA - todos projetados para atender aos crescentes desafios dos cuidados cardíacos. Com o aumento do volume de pacientes, complexidade clínica crescente e a persistente escassez de pessoal, o Transcend Plus foi projetado para ajudar as equipes de cardiologia a trabalhar de maneira mais inteligente, mais fácil, oferecendo resultados rápidos com reprodução de imagem com qualidade intransigente e suporte à tomada de decisões

"O Transcend Plus representa um salto ousado na evolução da ecocardiografia, reforçando nosso compromisso com a inovação contínua, capacitando os médicos com ferramentas orientadas por IA que aumentam a confiança, aceleram a tomada de decisões e elevam o atendimento em todas as etapas da jornada cardíaca", disse David Handler, líder de negócios de ultrassom de cardiologia da Philips. "O Transcend Plus é mais do que um avanço - é uma declaração clara da liderança da Philips em ultrassom cardiovascular. Com base no impulso do nosso lançamento original do Transcend, o Transcend Plus traz todo o poder da integração de IA para o primeiro plano, dando aos médicos a confiança, a velocidade e a precisão de que precisam para liderar os cuidados cardíacos - hoje e no futuro."
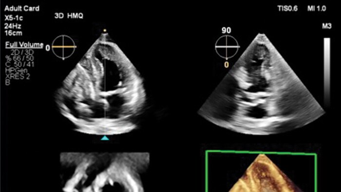
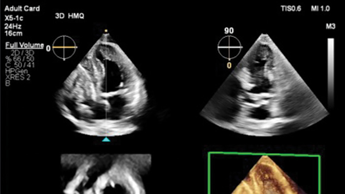
O Transcend Plus melhora visivelmente a nitidez, o contraste e os detalhes em imagens 2D e 3D, apresentando os mais recentes aprimoramentos aprovados pela FDA para EPIQ CVx e Affiniti CVx. Essas atualizações oferecem suporte superior à visualização da anatomia e função cardíacas, permitindo confiança no diagnóstico mesmo nos casos mais complexos ou tecnicamente desafiadores. A atualização também apresenta o novo recurso 2D Auto EF Advanced, expandindo os recursos de IA para imagens de contraste - essenciais para avaliar com precisão a função cardíaca.
A Philips agora oferece 26 aplicativos de IA de ultrassom cardiovascular aprovados pela FDA - o maior número do setor - totalmente integrados ao Transcend Plus para os sistemas EPIQ e Affiniti CVx. Entre os aprimoramentos mais recentes a receber a autorização da FDA 510(k) estão o 2D Auto EF e o 2D Auto EF Advanced. Essas ferramentas avançadas são projetadas para simplificar os fluxos de trabalho clínicos e melhorar a precisão do diagnóstico em uma variedade de ambientes de atendimento, desde o laboratório de ecocardiografia até o hospital e clínicas ambulatoriais, pré-avaliação e acompanhamento de longo prazo. Com esses aplicativos integrados de IA, os médicos podem avaliar os pacientes de forma mais rápida, consistente e confiante em todo o continuum de atendimento.
A avaliação da função ventricular esquerda (VE) é uma das aplicações mais críticas em imagens cardíacas, desempenhando um papel central no diagnóstico e gerenciamento de uma ampla gama de condições cardíacas. O Transcend Plus atende diretamente a essa necessidade, fornecendo resultados rápidos e reprodutíveis que ajudam os cardiologistas a avaliar rápida e definitivamente a função do VE de forma consistente em diferentes pacientes e ao longo do tempo. As ferramentas automatizadas minimizam a variabilidade do operador, garantindo medições mais confiáveis e padronizadas, especialmente vitais em ambientes clínicos de alto volume ou alta pressão. Além disso, o Transcend Plus oferece suporte robusto para imagens com e sem contraste. O recurso 2D Auto EF permite avaliações precisas mesmo quando os agentes de contraste não podem ser usados, como em pacientes com insuficiência renal. Com base nisso, o 2D Auto EF Advanced adiciona recursos de quantificação alimentados por IA para estudos de contraste e sem contraste, ampliando a aplicabilidade clínica e aumentando a confiabilidade da medição em pacientes com baixa qualidade de imagem ou janelas acústicas desafiadoras. Esses recursos se combinam para oferecer uma abordagem mais confiante e eficiente para o atendimento cardíaco.
O Transcend Plus capacita os médicos a tomar decisões rápidas e confiantes em todos os ambientes de cuidados cardíacos, seja no laboratório de ecocardiografia, na sala intervencionista ou durante avaliações ambulatoriais de rotina. Ao fornecer imagens mais nítidas e automação inteligente, ele permite um atendimento mais informado, simplifica os fluxos de trabalho e ajuda os provedores a gerenciar o crescente volume de pacientes sem comprometer a qualidade do diagnóstico ou o bem-estar do médico. O Transcend Plus oferece três benefícios principais: qualidade de imagem aprimorada para visualização mais clara da anatomia cardíaca e maior precisão diagnóstica; integração avançada de IA, com 26 aplicações aprovadas pela FDA que automatizam e aceleram tarefas rotineiras; e insights mais rápidos e acionáveis que reduzem atrasos e apoiam decisões clínicas oportunas e baseadas em evidências ao longo de todo o percurso de cuidados. Os sistemas de ultrassom da Philips instalados em todo o mundo realizam cerca de 1,33 bilhão de procedimentos diagnósticos e intervencionistas a cada ano, apoiando o diagnóstico e o tratamento de 654 milhões de pacientes únicos anualmente. O Transcend Plus foi demonstrado ao vivo no Congresso da Sociedade Europeia de Cardiologia 2025 (ESC) em Madri (29 de agosto a 1º de setembro) e na reunião anual da Sociedade Americana de Ecocardiografia (ASE) em Nashville (5 a 7 de setembro), oferecendo uma visão clínica prática sobre como essas inovações estão transformando o ultrassom cardíaco. Visite o Philips Cardiovascular Ultrasound para obter mais informações.
A Royal Philips (NYSE: PHG, AEX: PHIA) é uma empresa líder em tecnologia de saúde focada em melhorar a saúde e o bem-estar das pessoas por meio de inovações significativas. A inovação centrada no paciente e nas pessoas da Philips aproveita a tecnologia avançada e insights clínicos e do consumidor profundos para fornecer soluções de saúde pessoal para consumidores e soluções profissionais de saúde para profissionais de saúde e seus pacientes no hospital e em casa.
Com sede na Holanda, a empresa é líder em diagnóstico por imagem, ultrassom, terapia guiada por imagem, monitoramento e informática empresarial, bem como em saúde pessoal. A Philips gerou vendas de 18 bilhões de euros em 2024 e emprega aproximadamente 69.300 funcionários com vendas e serviços em mais de 100 países. Notícias sobre a Philips podem ser encontradas em www.philips.com/newscenter.